心血管支架再阻塞 不可忽的形危@台好新|PChome Online 人新台
2025-10-09 17:23:57| 人128| 回0 | 上一篇 | 下一篇
0 收藏 0 0 站台

心血管支架再阻塞 不可忽的形危

   

114109日星期四〉

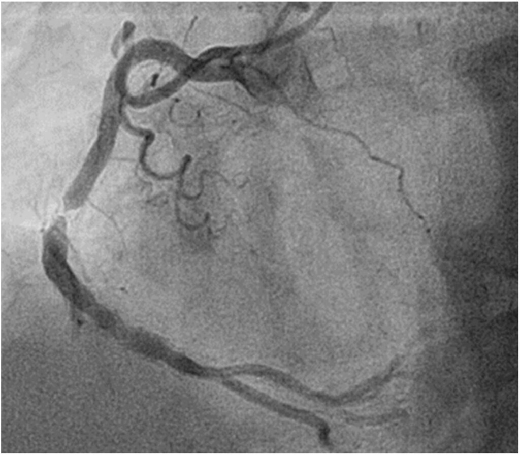
【者王可米/北】心血管疾病年位居人十大死因,其中冠疾病是心肌梗塞猝死的主因。透心管手置入心支架,能有效打通阻塞血管,恢心供血。然而,非一永逸,後仍存在一在支架再阻塞。

支架再阻塞指血管在置入支架後月至年再次窄。主要原因包括,血管皮胞度增生,使支架膜厚、硬化一步化,及不良生活如抽菸、血糖控制不佳等,致血管再次受。管新一代**物支架(DES**已大幅降低再窄率(5-10%),但此仍不容忽。

支架再阻塞的症心痛似,一旦出以下,可能是再次心肌梗塞的警,立即就:

  胸、胸痛

  耐受力下降

  呼吸急促

  夜或休息胸口不

北市立合院中院心血管科主治廖振宇提醒,防於治,後保是,置放支架只是治的第一步,日常保才是之道:

  律服:按持服用抗血小板降固醇物。

  控制三高:持血、血糖、血脂在正常。

  健康生活:戒菸、健康食、律。

  定期追:透心超音波等查,及早。

除了物支架,近年也展出「可吸收性支架」「新一代物球囊」等新技,目是一步降低再阻塞,血管的「痕治」。廖振宇,心支架是救命的,但健康的生活方式才是的道路。患者家不依手,而是日常做起,才能真正心血管疾病的威。

     

台: tina
人(128) | 回(0)| 推 (0)| 收藏 (0)|
全站分: 健康活(、生、重) | 人分: 保健 |
此分下一篇:自症童早期共病高呼即及介入 研究成果刊登於期刊
此分上一篇:症不要排斥用 搭配效

是 (若未登入"人新台"看不到回覆唷!)
* 入:
入片中算式的果(可能0) 
(有*必填)
TOP
全文
ubao msn snddm index pchome yahoo rakuten mypaper meadowduck bidyahoo youbao zxmzxm asda bnvcg cvbfg dfscv mmhjk xxddc yybgb zznbn ccubao uaitu acv GXCV ET GDG YH FG BCVB FJFH CBRE CBC GDG ET54 WRWR RWER WREW WRWER RWER SDG EW SF DSFSF fbbs ubao fhd dfg ewr dg df ewwr ewwr et ruyut utut dfg fgd gdfgt etg dfgt dfgd ert4 gd fgg wr 235 wer3 we vsdf sdf gdf ert xcv sdf rwer hfd dfg cvb rwf afb dfh jgh bmn lgh rty gfds cxv xcv xcs vdas fdf fgd cv sdf tert sdf sdf sdf sdf sdf sdf sdf sdf sdf sdf sdf sdf sdf sdf sdf sdf sdf sdf sdf sdf sdf sdf sdf sdf sdf sdf sdf sdf sdf sdf sdf sdf sdf sdf sdf sdf sdf sdf sdf sdf shasha9178 shasha9178 shasha9178 shasha9178 shasha9178 liflif2 liflif2 liflif2 liflif2 liflif2 liblib3 liblib3 liblib3 liblib3 liblib3 zhazha444 zhazha444 zhazha444 zhazha444 zhazha444 dende5 dende denden denden2 denden21 fenfen9 fenf619 fen619 fenfe9 fe619 sdf sdf sdf sdf sdf zhazh90 zhazh0 zhaa50 zha90 zh590 zho zhoz zhozh zhozho zhozho2 lislis lls95 lili95 lils5 liss9 sdf0ty987 sdft876 sdft9876 sdf09876 sd0t9876 sdf0ty98 sdf0976 sdf0ty986 sdf0ty96 sdf0t76 sdf0876 df0ty98 sf0t876 sd0ty76 sdy76 sdf76 sdf0t76 sdf0ty9 sdf0ty98 sdf0ty987 sdf0ty98 sdf6676 sdf876 sd876 sd876 sdf6 sdf6 sdf9876 sdf0t sdf06 sdf0ty9776 sdf0ty9776 sdf0ty76 sdf8876 sdf0t sd6 sdf06 s688876 sd688 sdf86