清除自由基 混合 肌性 胜肽 雪芙美妍 量子 牙美白的原理,是利用氧化物入牙本中把部的色素代出,牙可以呈亮白透明的感,基本上美白由要素成,一是美白的成份度, 度越高,美白效果越快,但牙刺激也大. 二是作用的,如果有外加的能量去催化,ex: 冷光或雷射,可以加速美白的效果.一般市面上的美白方式有:
1.居家美白: 名思就是在家自己DIY的美白方式,先在人牙托上上美白,然後戴1-2小不等,7-14天效,在使用的程中都有牙敏感的感,路上的美白品,用的其和所用的相同,差只在於人牙托不是量身做,所以有外溢害牙肉,或者效果慢的.
2.冷光美白: 在所用外加能量去加快美白速度,小完成,後敏感半天或.
任 何一美白的方式,都可以到白的效果,如何,就取於自己的算,生活作息甚至性. 如果有心的,建作居家美白,因可以控制牙的色,到想要的效果後就停止使用,剩下的可以留下,以後牙回色再保用.如果生活 忙碌,或想要上效的,冷光美白是最好.
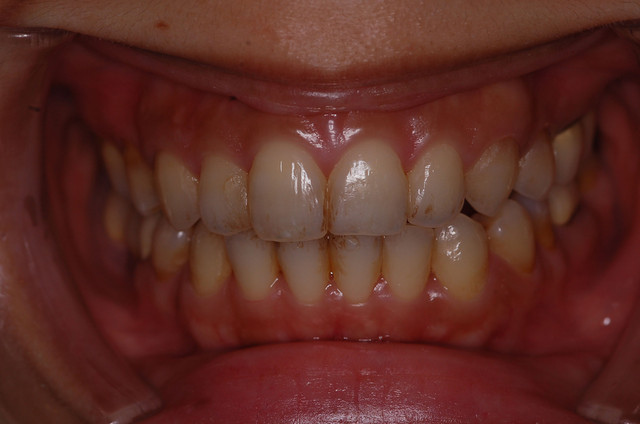
Case: 冷光美白前,可茶垢很多,色偏

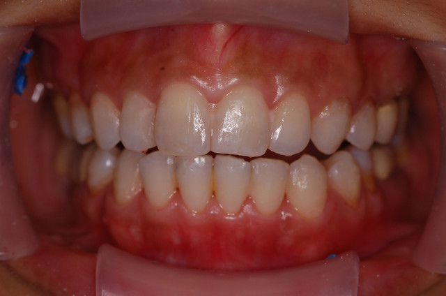
冷光美白後,茶垢乎看不了!

< src="https://front.pixfs.net/js/pixpoi-ui-module--bundle.min.js?v=9995fea43cbe7f0e74b0c5ac6a4b0a55" defer>
< defer src="https://front.pixfs.net/js/hot-keywords.min.js?v=9995fea43cbe7f0e74b0c5ac6a4b0a55">